Ортодонтическое лечение детей на элайнерах

Ортодонтическое лечение детей на элайнерах

Ортодонтическое лечение детей на элайнерах
от 97000 руб.

Красивая улыбка и ровные зубы – залог уверенности в себе и здоровья полости рта с детства. В стоматологической клинике Clinica Native в Екатеринбурге мы предлагаем современное и комфортное ортодонтическое лечение для детей и подростков с помощью элайнеров. Это невидимые каппы, которые мягко и эффективно выравнивают зубы без металлических брекетов.

Оптимальный возраст для ортодонтического лечения на элайнерах – с 12 лет, когда уже прорезались постоянные зубы. В некоторых случаях возможно лечение и в более раннем возрасте – существуют элайнеры для детей, которые можно устанавливать с 6-7 лет.

Преимущества ортодонтического лечения детей и подростков на элайнерах

  • Невидимость – каппы изготовлены из тонкого прозрачного медицинского пластика, поэтому они практически незаметны. Это может быть очень важно для подростка, если он стесняется носить брекеты.
  • Комфорт – нет металлических элементов, которые способны травмировать слизистую. Гладкая поверхность не раздражает десны и щеки.
  • Съемная конструкция – каппы снимают во время еды и чистки зубов. Нет ограничений в питании, пища не застревает.
  • Простота гигиены – зубы чистятся как обычно, без специальных щеток и ершиков. Элайнеры легко промывать, что снижает риск кариеса и воспалений.
  • Предсказуемый результат – лечение планируется с помощью 3D-моделирования. Родители и ребенок сразу видят, как будут выглядеть зубы после коррекции.
  • Экономия времени на приемах у ортодонта – пациенту выдается несколько комплектов, которые нужно самостоятельно менять по графику. Контрольные осмотры проходят реже, чем при ношении брекет-систем.
Ортодонтическое лечение детей на элайнерах от 97000 руб. за 1 челюсть
Важно: план и стоимость лечения составляются по результатам консультации специалиста! Запись по телефону: (343) 343-77-00 и на сайте Clinicanative.ru
Данный интернет-сайт, а также вся информация о услугах и ценах, предоставленная на нём, носит исключительно информационный характер и ни при каких условиях не является публичной офертой, определяемой положениями Статьи 437 Гражданского кодекса Российской Федерации.

Принцип работы элайнеров для детей и подростков

Прозрачные капы создаются индивидуально по цифровому слепку и постепенно смещают зубы в правильное положение. Элайнеры для детей работают по тому же принципу, что и для взрослых, но с учетом особенностей растущей челюсти. Их основная задача – постепенно и безопасно перемещать зубы в правильное положение без использования металлических конструкций.

Как именно работают элайнеры?

1. Мягкое и дозированное давление. Каждая каппа слегка смещает зубы на 0,2–0,3 мм за один этап. Давление распределяется равномерно, поэтому процесс выравнивания безболезненный.

2. Последовательная смена кап. Лечение состоит из набора индивидуальных элайнеров, которые меняются каждые 1–2 недели. Каждый новый комплект продолжает смещение зубов по запланированной траектории.

3. Контроль роста челюсти (у детей). В детских элайнерах могут быть специальные элементы (например, выступы для коррекции прикуса). Учитывается активный рост челюсти, что позволяет предотвратить аномалии прикуса в будущем.

4. Использование 3D-технологий. Перед лечением делается цифровой слепок зубов и создается 3D-модель челюсти. Ортодонт заранее видит весь процесс лечения и конечный результат.

Показания для ортодонтического лечения детей на элайнерах

Элайнеры эффективны при:

  • скученности или щелях между зубами.
  • неправильном прикусе (открытый, глубокий, перекрестный).
  • необходимости коррекции перед установкой брекетов.

Противопоказаниями может быть возраст до 12 лет, слишком выраженные аномалии прикуса, которые можно устранить только хирургическим путем или только брекетами, а также воспалительные процессы в полости рта. Для детей младшего возраста для выравнивания зубов могут использоваться трейнеры или пластинки.

Этапы исправления прикуса элайнерами у детей и подростков

    1. Первичная консультация и диагностика. Ортодонт осматривает полость рта и назначает все необходимые исследования. Проводится фотофиксация — внутриротовые и лицевые снимки, назначаются КТ и ТРГ-снимки для оценки состояния челюсти и прорезывающихся зубов. Для получения трехмерной модели полости рта и изготовления ортодонтических конструкций назначается цифровое сканирование.

    2. Планирование лечения. План лечения обсуждается с родителями и ребенком. Для изготовления элайнеров создается 3D-модель челюстей. Далее разрабатывается индивидуальный план перемещения зубов, создается визуализация конечного результата.

    3. Изготовление элайнеров. Индивидуальные каппы изготавливаются в лаборатории. При необходимости врач подбирает дополнительные элементы (аттачменты, резинки).

    4. Примерка первого комплекта. Врач проверяет посадку элайнеров, обучает пациента правилам использования и составляет график замены комплектов.

    5. Основной этап коррекции прикуса. На этом этапе необходимо носить элайнеры 20-22 часа в сутки, самостоятельно менять по графику и посещать контрольные осмотры у ортодонта. Средняя продолжительность лечения: от 6 до 18 месяцев в зависимости от сложности случая.

    6. Завершающий этап и ретенционный период. Ортодонт оценивает достигнутый результат. Чтобы зубы не вернулись в исходное положение, результат необходимо стабилизировать с помощью ретейнера.

Наши врачи

Клочков Григорий Сергеевич
Клочков Григорий Сергеевич
  • Стоматолог-ортодонт
Подробнее

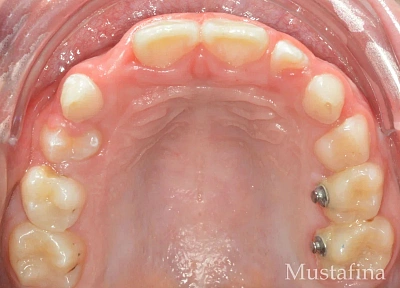
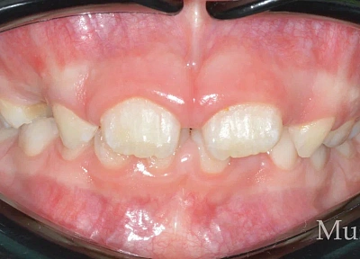
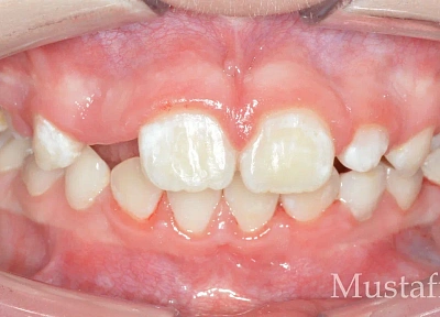
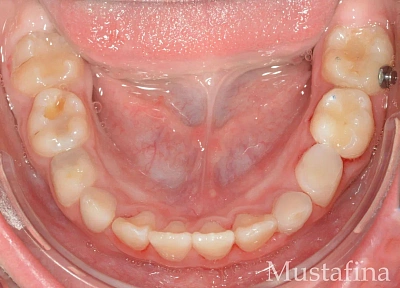
Результаты работ

До
Лечение на элайнерах
После
Лечение на элайнерах
Лечение на элайнерах
До
Лечение на элайнерах
После
Лечение на элайнерах
Лечение на элайнерах
До
Лечение на элайнерах
После
Лечение на элайнерах
Лечение на элайнерах

Часто задаваемые вопросы

С какого возраста можно ставить элайнеры?
Оптимальный возраст – с 10-12 лет, когда уже прорезались постоянные зубы. В некоторых случаях возможно лечение детскими элайнерами и в более раннем возрасте.
Больно ли носить элайнеры?
Нет, они абсолютно не вызывают дискомфорта. В первые дни может быть небольшое давление, которое быстро проходит.
Сколько длится лечение?
Срок зависит от сложности случая – в среднем от 6 месяцев до 1,5 лет.
Можно ли снимать элайнеры?
Да, но носить их нужно не менее 20-22 часов в сутки, иначе лечение затянется. Если носить элайнеры меньше этого времени, то зубы выровняются, но сам прикус останется неправильным, и все усилия будут потрачены зря.
Как чистить элайнеры?
Достаточно промывать их тщательно водой и чистить мягкой щеткой. Раз в день используйте специальные растворы/таблетки для дезинфекции. Нельзя промывать каппы под горячей водой, так как материал может деформироваться. Не рекомендуется чистить их жесткой зубной щеткой и использовать пасты с содержанием абразивных частиц.
Можно ли есть с элайнерами?
Нет, их нужно снимать во время еды, чтобы не повредить.
Что делать, если ребенок потерял элайнер?
Нужно надеть предыдущую каппу и обратиться к врачу для изготовления новой взамен потерянной.
Элайнеры или брекеты – что лучше?
Элайнеры удобнее и эстетичнее, но в определенных случаях брекеты могут быть эффективнее. Ортодонт подберет оптимальный вариант.
Сколько стоит ортодонтическое лечение элайнерами детей и подростков?
Цена на элайнеры для детей и подростков зависит от сложности случая, длительности лечения и бренда элайнеров. Итоговая стоимость рассчитывается после проведения всех диагностических процедур во время составления подробного плана коррекции прикуса.

Контакты
улица Азина, 31, Екатеринбург,
Свердловская область, 620027
+73433437700 Звонок бесплатный
Он-лайн запись