Установка брекетов

Установка брекетов

Установка брекетов
от 41000 руб.

Установка брекетов от 41000 руб за 1 челюсть
Важно: план и стоимость лечения составляются по результатам консультации специалиста! Запись по телефону: (343) 343-77-00 и на сайте Clinicanative.ru
Данный интернет-сайт, а также вся информация о услугах и ценах, предоставленная на нём, носит исключительно информационный характер и ни при каких условиях не является публичной офертой, определяемой положениями Статьи 437 Гражданского кодекса Российской Федерации.

Наши врачи

Мустафина Анжелика Альбертовна
Мустафина Анжелика Альбертовна
  • Стоматолог-ортодонт
Подробнее
Соминская Анжелика Фанильевна
Соминская Анжелика Фанильевна
  • Стоматолог-ортодонт
Подробнее
Клочков Григорий Сергеевич
Клочков Григорий Сергеевич
  • Стоматолог-ортодонт
Подробнее

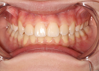
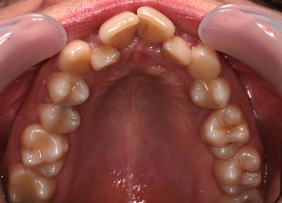
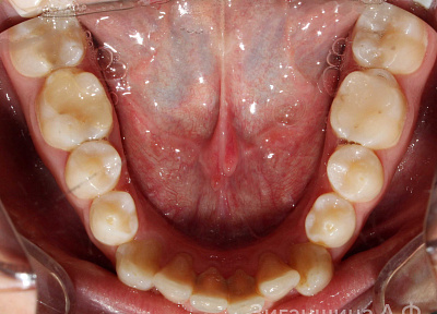
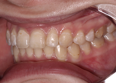
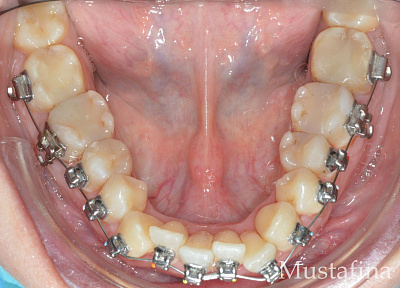
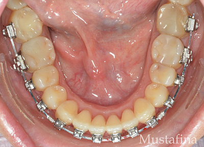
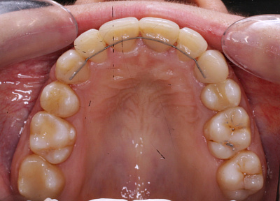
Результаты работ

До
Лечение на съемных пластинках с переходом на брекет-систему
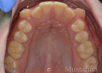
После
Лечение на съемных пластинках с переходом на брекет-систему
Лечение на съемных пластинках с переходом на брекет-систему
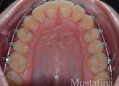
До
Лечение на съемных пластинках с переходом на брекет-систему
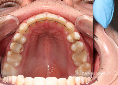
После
Лечение на съемных пластинках с переходом на брекет-систему
Лечение на съемных пластинках с переходом на брекет-систему
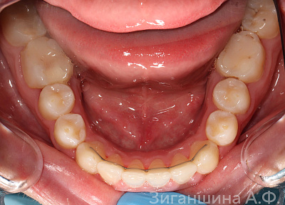
До
Лечение на брекет-системе
После
Лечение на брекет-системе
Лечение на брекет-системе
До
Лечение на брекет-системе
После
Лечение на брекет-системе
Лечение на брекет-системе
До
Лечение на брекет-системе
После
Лечение на брекет-системе
Лечение на брекет-системе
До
Лечение на брекет-системе
После
Лечение на брекет-системе
Лечение на брекет-системе
До
Лечение на брекет-системе
После
Лечение на брекет-системе
Лечение на брекет-системе
До
Лечение на брекет-системе
После
Лечение на брекет-системе
Лечение на брекет-системе
До
Лечение на брекет-системе
После
Лечение на брекет-системе
Лечение на брекет-системе
До
Лечение на брекет-системе – рецессии
После
Лечение на брекет-системе – рецессии
Лечение на брекет-системе – рецессии
До
Лечение на брекет-системе – дистализация с минивинтом
После
Лечение на брекет-системе – дистализация с минивинтом
Лечение на брекет-системе – дистализация с минивинтом
До
Лечение на брекет-системе – дефицит места
После
Лечение на брекет-системе – дефицит места
Лечение на брекет-системе – дефицит места
До
Лечение на брекет-системе – дефицит места
После
Лечение на брекет-системе – дефицит места
Лечение на брекет-системе – дефицит места
До
Лечение на брекет-системе
После
Лечение на брекет-системе
Лечение на брекет-системе
До
Лечение на аппарате для расширения верхнего зубного ряда с переходом на брекет-систему
После
Лечение на аппарате для расширения верхнего зубного ряда с переходом на брекет-систему
Лечение на аппарате для расширения верхнего зубного ряда с переходом на брекет-систему
До
Исправление прикуса брекетами
После
Исправление прикуса брекетами
Исправление прикуса брекетами
До
Брекеты с дефицитом места
После
Брекеты с дефицитом места
Брекеты с дефицитом места
До
Лечение на съемных пластинках с переходом на брекет-систему срок лечения 2 года
После
Лечение на съемных пластинках с переходом на брекет-систему срок лечения 2 года
Лечение на съемных пластинках с переходом на брекет-систему срок лечения 2 года
До
Лечение на аппарате для расширения верхнего зубного ряда с переходом на брекет-систему
После
Лечение на аппарате для расширения верхнего зубного ряда с переходом на брекет-систему
Лечение на аппарате для расширения верхнего зубного ряда с переходом на брекет-систему
До
Лечение на брекет системе
После
Лечение на брекет системе
Лечение на брекет системе

Часто задаваемые вопросы

Портятся ли зубы от брекетов?

Брекет-систему устанавливают только на здоровые (вылеченные) зубы и только после проведения профессиональной гигиены. Брекеты, установленные на очищенную эмаль, исключают появление кариеса под ними.

Как долго придется ходить с брекетами?

У детей можно исправить патологию прикуса за 1 год, в более старшем возрасте это занимает от 2-х лет. У взрослых ортодонтическое лечение продолжается 2-3 года, потому что важно медленное перемещение для восстановления костной ткани и получения стабильного результата.

Больно ли ставить брекеты?

Привыкание к брекет-системе вызывает чувство давления и дискомфорта, которое проходит буквально через несколько дней. В целом процедуры по исправлению прикуса безболезненны.


Контакты
улица Азина, 31, Екатеринбург,
Свердловская область, 620027
+73433437700 Звонок бесплатный
Он-лайн запись